• La colangitis aguda ocurre cuando existe estenosis biliar que puede ser consecuencia de obstrucción benigna (litiasis biliar) o causas malignas (tumores) lo cual produce colestasis e infección biliar.

Criterios de diagnóstico y severidad:

Triada de Charcot:

  • Síntomas: Dolor abdominal, Fiebre e Ictericia
  • Tiene baja sensibilidad
Triada de Charcot
Triada de Charcot
Criterios diagnósticos Tokio 2013 Vs. Tokio 2018
Criterios diagnósticos Tokio 2013 Vs. Tokio 2018
Comparación Tokio 2013 Vs. Tokio 2007
Comparación Tokio 2013 Vs. Tokio 2007
Criterios diagnósticos colangitis aguda
Criterios diagnósticos colangitis aguda

Ultrasonido Vs. Tomografía para identificar la causa de la colangitis aguda y/o estenosis biliar:

Hallazgos ultrasonográficos en Colangitis Aguda
Hallazgos ultrasonográficos en Colangitis Aguda
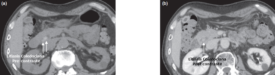
Hallazgos Tomográficos
Hallazgos Tomográficos
Resonancia Magnética
Resonancia Magnética
Colangioresonancia
Colangioresonancia

Se recomienda la Resonancia Magnética o Colangioresonancia para el diagnóstico de la etiología de la colangitis aguda

Evaluación de la Severidad:

Evaluación de la Severidad
Evaluación de la Severidad

Tratamiento:

Microorganismos en Infecciones biliares
Microorganismos en Infecciones biliares
Microorganismos en Infecciones biliares (continuación)
Microorganismos en Infecciones biliares (continuación)
Recomendaciones para Antibioticoterapia en infecciones Biliares
Recomendaciones para Antibioticoterapia en infecciones Biliares

Los pacientes con Colangitis pueden responder a la terapia médica con antibioticoterapia sin embargo la descompresión de la vía biliar es necesaria en la mayoría de los casos.

La mortalidad asociada al manejo quirúrgico va desde el 10 al 40% y se relaciona con la severidad de la enfermedad

Muchos estudios han demostrado que la Colangiografia Endoscopica retrograda (CPRE) tiene menor morbimortalidad en comparación con la cirugía. Otra opción es el drenaje percutáneo transhepático en algunos casos.

Recomendaciones de Consenso 2021:

Consenso 2021
Consenso 2021

Recomendaciones:

Población ASGE 2021
Población ASGE 2021
Recomendaciones ASGE 2021
Recomendaciones ASGE 2021

Recomendaciones ASGE 2021 (continuación)
Recomendaciones ASGE 2021 (continuación)

Recomendación 1: para pacientes con colangitis se recomienda CPRE en lugar de drenaje transcutáneo de la vía biliar (Recomendación Condicional, baja calidad de evidencia)

CPRE VS DRENAJE
CPRE VS DRENAJE

La CPRE se relaciono con menor mortalidad en relación al drenaje y también a menor cantidad de días de hospitalización.