La video cápsula endoscópica (VCE) permite la visualización de la superficie mucosa del tracto gastrointestinal de manera no invasiva. Este procedimiento fue aprobado por la FDA en el 2001 con tecnología que se ha ido refinando obteniendo mejor resolución, se ha incrementado la vida media de las baterías utilizadas y la capacidad de visualizar diferentes partes del tracto gastrointestinal.
La VCE tiene un papel fundamental en la evaluación de lesiones del intestino delgado y de la hemorragia gastrointestinal. Su uso se ha extendido para la evaluación de la enfermedad inflamatoria intestinal y el seguimiento de las neoplasias colorrectales en pacientes seleccionados.
La VCE puede ser deglutida o colocada endoscópicamente para su posterior activación y progreso por el tracto gastrointestinal para ser excretada naturalmente.
- La VCE mide entre 24-32 mm de longitud y entre 11-13 mm de diámetro dependiendo del fabricante.
- Todas las cápsulas tienen los mismos componentes: la cápsula plástica, un semiconductor de metal o un sistema de captura, lentes compactos, fuentes de iluminación con diodos y batería interna.
- El software se utiliza para procesar y ver las imágenes en tomas simples o múltiples aproximadamente a de 3 a 40 frames por segundo.
- Se puede identificar los píxeles rojos para facilitar la detección de lesiones sangrantes.
Entrenamiento en cápsula endoscópica:
- Se requiere en entrenamiento formal con un número mínimo de procedimientos
- Opciones: curso estructurado con observación directa, interpretación de estudios programada, videos para análisis y/o cursos por escrito
- Número mínimo de procedimientos para lograr competencia: 30-50 (Guías Europeas) Vs. 20 (Guías Americanas 2017). En un estudio prospectivo con un curso bien estructurado y supervisado: curva de aprendizaje se aplana a los 25 procedimientos
- No está claro si se requiere un número mínimo de procedimientos para mantener competencia
Sistemas disponibles:

Pillcam SB 3 Medtronic (Ver sitio Web)
Endocapsule 10 Olympus (Ver sitio Web)
Mirocam Miroview Express Intromedic (Ver sitio Web)
MiroCam:
VCE en el tracto digestivo superior:
- La Pillcam es el único sistema comercializado para aplicaciones esofágicas y gástricas.
- La dimensiones de la cápsula, la velocidad de transmisión, el campo de visión, resolución y software de identificación son similares a la PillCam SB3.
- La vida media de la cápsula es de solo 90 minutos (comparado con las cápsulas de intestino delgado que duran entre 8-12 horas).
- Las cámaras están ubicadas en ambos extremos de la cápsula
- Velocidad de captura: 18-35 frames. La velocidad de captura es variable: 35 frames para los primeros 10 minutos del procedimiento y 18 frames para los últimos 80 minutos.
- De acuerdo al fabricante el paciente debe estar en ayunas por al menos 2 horas antes de la ingestión del dispositivo.
- Utiliza 3 sensores conectados a la pared torácica y al registro de datos.
Links recomendados:
PillCam™ Capsule Endoscopy – Turning the Impossible Into Reality
Capsule Endoscopy Animation – Olympus EndoCapsule
VCE en Intestino Delgado:
- Antes de realizar el estudio se recomienda ayuno o ingesta de líquidos claros entre 10 y 12 horas previo al procedimiento, algunos centros recomiendan dieta con líquidos claros por 24 horas antes del estudio. Una dieta con líquidos claros se recomienda después de 2 horas del procedimiento y una comida liviana después de 4 horas.
Links recomendados:
Capsocam Plus Capsule (Capsovision)
VCE en colón:
Existen 2 sistemas disponibles con aprobación por la FDA: PillCam COLON 2 y PillCam para Crohn de Medtronic. La Pillcam COLON 2 está diseñada para la visualización del colon exclusivamente, mientras que las PillCam para Crohn visualiza tanto el intestino delgado como el colon.
Indicaciones:
| INDICACIONES APROPIADAS | INDICACIONES NO APROPIADAS |
| SOSPECHA DE HEMORRAGIA DIGESTIVA EL INTESTINO DELGADO | DOLOR ABDOMINAL |
| ANEMIA POR DEFICIENCIA DE HIERRO | DIARREA |
| ENFERMEDAD DE CROHN (DIAGNOSTICADA O SOSPECHADA) | MALABSORCIÓN |
| SÍNDROMES HEREDITARIOS DE POLIPOSIS ( POLIPOSIS, PEUTZ-JEGHERS | ANEMIA POR DEFICIENCIA DE HIERRO SIN EVIDENCIA DE HEMORRAGIA DIGESTIVA |
| ENFERMEDAD CELIACA (COMPLICADA O REFRACTARIA) | |
Contraindicaciones:
- Contraindicaciones absolutas: estenosis u obstrucción intestinal, íleo
- Contraindicaciones relativas: dispositivos cardiacos implantables (tienen bajo riesgo aparente), embarazo, trastornos de la deglución, si el paciente requiere una resonancia magnética posterior a la cápsula se debe recomendar verificar expulsión del dispositivo, niños menores de 2 años
- Consentimiento informado: riesgo de retención, lesiones no diagnosticadas, descarga de la bateria, evitar resonancia hasta que la cápsula sea expulsada
La presencia de anatomía alterada por antecedentes de cirugía no parece incrementar el riesgo de complicaciones con la CE
Factores de riesgo para la retención de la CE:
- Se define como retención de la CE como la presencia de la CE en el intestino delgado > 2 semanas
- Incidencia: 2.1% en hemorragia digestiva del intestino delgado, 2.4% en pacientes con sospecha de enfermedad de Crohn, 4.6% en pacientes con diagnóstico de enfermedad de Crohn
- Factores de riesgo potenciales: enfermedad de Crohn, historia de obstrucción del intestino delgado, resección intestinal previa, radioterapia previa, uso cronico de analgesicos antiinflamatorios no esteroideos, estenosis o tumor documentado previamente, presencia de síntomas
Se considera un estudio incompleto cuando la cápsula no llega al ciego antes de que la batería se agote, ocurre entre el 16 y 20% en pacientes con tránsito lento, esta condición se puede mejorar utilizando baterías de mayor duración o colocar la cápsula en intestino delgado
Efectividad diagnóstica:
| INDICACIÓN | EFECTIVIDAD DIAGNÓSTICA |
| INDICACIONES MIXTAS | 27-77.3% |
| SOSPECHA DE SANGRAMIENTO DE INTESTINO DELGADO | 31-68% |
| SOSPECHA DE ENFERMEDAD DE CROHN | 6-38% |
| ENFERMEDAD DE CROHN ACTIVA | 39% |
Preparación del paciente:
- La Simeticona mejora la calidad de la visualización (disminuye la presencia de burbujas), se puede combinar con otros laxantes
- No se recomiendan los procineticos
- El uso de laxantes es controversial
Algunos estudios demuestran que el uso de laxantes con mejora la visualización de la CE
Se recomienda la colocación vía endoscópica en pacientes con alteraciones de la deglución, con gastroparesia o uso de opioides y con trastornos mentales
Intestino Delgado:
Hemorragia Digestiva de Intestino Delgado
- Representa entre el 5-10% de todas las hemorragias digestivas y la cápsula endoscópica es el estudio de primera línea recomendada para esta condición.
- La efectividad de la CE depende de la indicación. La mayor efectividad se obtiene en casos de sospecha de hemorragia digestiva del intestino delgado, especialmente si el sangramiento tiene menos de 72 horas de duración.

La CE se debe realizar en las primeras 48 horas de hospitalización del paciente, para pacientes ambulatorios se debe realizar en los primeros 14 días del sangramiento
- La CE es el único procedimiento no invasivo que permite la visualización de todo el intestino delgado.
- El papel de la vídeo CE en la hemorragia digestiva del intestino delgado es amplio e incluye la valoración de pacientes con anemia crónica
- La mayoría de las sociedades han diseñado algoritmos que sirven como guías para el manejo del sangramiento de intestino delgado.
- Al principio estos algoritmos clasificaban el sangramiento como oculto o activo. Ahora se basan en decisiones tomadas en base el estado hemodinámico de los pacientes.
Todos los algoritmos recomiendan la evaluación endoscópica con Endoscopia Superior y Colonoscopia antes de considerar hemorragia digestiva del intestino delgado.
Hasta el momento la cápsula endoscópica no sustituye la endoscopia y colonoscopia en el paciente con hemorragia digestiva de origen desconocido
Se debe tener cuidado en pacientes con sospecha de obstrucción intestinal

Resangramiento:
La tasa de resangramiento posterior a CE negativa se ubica entre el 5 y el 25% y en pacientes en los que la CE tuvo hallazgos positivos entre el 30-40%.
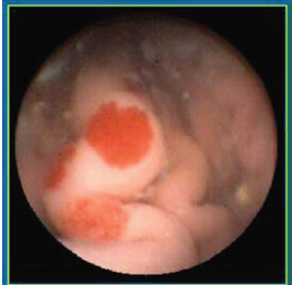
Hallazgos endoscópicos:
- Son malformaciones vasculares de paredes delgadas, dilatación de capilares. Como la capa muscular es muy delgada son susceptibles al sangramiento (10% de todas las hemorragias digestivas y 60% de las originadas en el intestino delgado)
- Son secundarias a un aumento del factor de crecimiento vascular endotelial
- Las lesiones hemorrágicas en intestino delgado pueden ser clasificadas como lesiones vasculares primarias (vasos pequeños y grandes) y lesiones no vasculares (ulcerativas, neoplásicas, infiltrativas o mecánicas)
- Los pacientes > de 60 años tienen una elevada incidencia de angioectasias, lesiones ulcerativas, enteropatía relacionada con analgesicos antiinflamatorios no esteroideos.
- Los pacientes menores de 50 años tienen mayor incidencia de enfermedad de Crohn y Divertículo de Meckel.
- Predominan en el intestino delgado proximal y generalmente son múltiples
- Algunas condiciones de base aumentan su incidencia como la estenosis aórtica. El síndrome de Heyde es la combinación de angiodisplasia con estenosis aórtica.
- Otros factores de riesgo asociados son: colagenopatías, cirrosis, enfermedad renal, valvulopatías, uso de anticoagulantes.
- La clasificación de Yano-Yanamoto consiste en: lesiones menores de 1 mm con vista endoscópica de eritema puntiforme (Tipo 1a) y aquellas mayores de 1 mm con eritema en parche (Tipo 1b). Las lesiones tipo 1a y 1b pueden tener signos de sangramiento activo o no.
- Las lesiones tienen diferentes riesgo de hemorragia (Sistema de Saurin)
- El tratamiento más utilizado es el Argón Plasma, su única limitación es la elevada tasa de resangramiento
- El riesgo de resangramiento es mayor en pacientes que han requerido transfusión, angiodisplasias múltiples, enfermedad renal y cardiaca, uso de anticoagulantes
- Otras opciones: hemoclips, inyección con Polidocanol, terapia combinada.
- Cirugía con resección del segmento afectado
- Embolización con microcoils
- Tratamiento médico: inmunomoduladores (Talidomida) no se usa por efectos adversos, anticuerpos monoclonales (Bevacizumab), agentes antifibrinolíticos (ácido tranexámico), terapia hormonal (estrógenos y progestágenos) con efecto no demostrado.

Links recomendados:
2021: WEO Video Capsule Endoscopy Training | Acute Small Bowel Bleeding
Tumores del Intestino delgado:
Enfermedad de Crohn
- Cuando la endoscopia no es factible se puede utilizar este procedimiento o la enteroscopia con balón
Indicaciones de CE en pacientes con EII:
- Evaluación del intestino delgado posterior a ileocolonoscopia normal cuando existe sospecha clínica de enfermedad de Crohn basada en los síntomas del paciente y pruebas serológicas
- Evaluación de la extensión y severidad del compromiso del intestino delgado en pacientes con enfermedad de Crohn
- Monitoreo de la actividad de la enfermedad o documentar la respuesta clínica al tratamiento en pacientes con enfermedad de Crohn
- Evaluación de la recurrencia posterior a cirugía
- Clasificar la enfermedad inflamatoria no especificada
- Evaluar el intestino delgado en pacientes con rectocolitis ulcerativa severa antes de la colectomía
- Evaluar el intestino delgado en pacientes pediátricos con sospecha o enfermedad de Crohn diagnosticada
Enfermedad Celiaca:
- Los cambios mucosos de la enfermedad celíaca (EC) son en parches y muchas veces distal a la segunda porción del duodeno.
- La CE no se recomienda como modalidad diagnóstica de la sospecha de enfermedad celíaca excepto en pacientes en los que no se puede realizar endoscopia.
- Se utiliza en la evaluación de patología celíaca en la región distal del intestino delgado como la yeyunitis ulcerativa o la enteropatía asociada con linfomas de células T.
Recomendaciones posterior a procedimiento:
- Documentación fotográfica y de los tiempos de tránsito
- Uso de métodos de lectura estandarizados
- Guías de manejo apropiadas de cada patología
- Documentar la calidad de la visualización y si se completa el estudio
- Documentar complicaciones y el manejo de estas
- Realizar radiografía a las 2 semanas en caso de sospecha de retención de la CE
- Generar informes de calidad

















